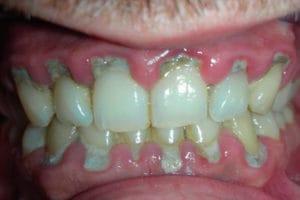
La tartrectomía (anglicismo de "tartar removal") consiste en la eliminación de cálculo dental o masa mineralizada adherida a los dientes para lograr una limpieza dental, con ultrasonidos e instrumentos odontológicos especiales.
Tipos
- El raspado coronal o eliminación de cálculos supragingivales suele hacerse periódicamente (los odontólogos recomiendan una limpieza cada seis meses como profilaxis), para eliminar la acumulación de cálculo dental (sarro), depósitos blandos (placa dental) de difícil acceso o algunas manchas superficiales.
- El raspado radicular (eliminación de cálculos subgingivales) lo debe hacer un periodoncista o periodontólogo, que cuenta con un equipamiento específico, por lo que es necesario hacer una visita al dentista para realizarlo correctamente.
Técnica
En el raspado coronal y radicular, la principal función es eliminar con ultrasonidos o instrumentación manual el sarro o cálculo dentario acumulado y toda la placa dental mineralizada y no mineralizada, fundamentalmente toda la masa acumulada en el borde gingival de las piezas dentales (supragingival) y en los espacios interproximales (entre los dientes). Esta acumulación de cálculos se produce a lo largo del tiempo y es inevitable aunque se puede retrasar con una correcta higiene dental. Sin embargo, existen espacios en la boca a los que ni siquiera un correcto cepillado es capaz de llegar y es por ello que con el tiempo el sarro se llega a formar inevitablemente como progreso de enfermedades como la periodontitis. Asimismo, esta acumulación se puede ver acelerada por diferentes factores como el tipo de bacterias en el biofilm microbiano, enfermedades bucales, estrés, predisposición genética y sobre todo, por la falta de una correcta higiene dental con cepillo, hilo y el uso rutinario de algún antiséptico antiplaca.
Enlaces externos
- Glosario de THE AMERICAN ACADEMY OF PERIODONTOLOGY (en inglés)

![]()


